Crowdified! This project has been successfully funded on 25. December 2025. Thanks to the 61 boosters that made it possible!

Tumoroperation für Nero

❤️Ein Kämpferherz braucht Hilfe: Nero muss operiert werden!

Stefan Muster
Stefan Muster Thörishaus, CH

Project Overview

Unser tapferer Nero, der schon gegen Leishmaniose und Epilepsie ankämpft, kämpft nun auch noch gegen einen sehr großen Tumor. Dieser Tumor muss operativ entfernt werden, da er bereits 80 % seiner Lunge verdrängt hat. Trotzdem hat sich Nero angepasst, rennt über Wiesen und spielt – er ist ein unglaublicher Kämpfer! Die OP ist Neros einzige Rettung. Helfen Sie uns, die lebensrettenden Kosten zu stemmen und Ihm die Luft zum Atmen zu schenken.

Change project language / /
100%
2.500 CHF
of 2.500 CHF
 
Crowdified
hurray!
61
Boosters
supported project
Tumoroperation für Nero
Tumoroperation für Nero
Tumoroperation für Nero
Tumoroperation für Nero
Tumoroperation für Nero

Nero's Geschichte begann traurig: In Spanien fristete er sein Dasein angekettet in einem Hinterhof. Als er zu uns kam, war er von Misstrauen geprägt – aggressiv gegenüber Männern, Hunden und allem, was sich bewegte.

Doch wir sahen sein großes, verletztes Herz. Mit viel Geduld und Liebe hat Nero eine unglaubliche Wandlung vollzogen: Heute spielt er ausgelassen mit Mensch und Hund und hat gelernt, dass die Welt auch gut sein kann.

Nero hat bereits so viel durchgestanden: Die chronischen Krankheiten Leishmaniose und Epilepsie haben wir medikamentös gut eingestellt. Er ist stabil und genießt sein neues Leben in vollen Zügen.

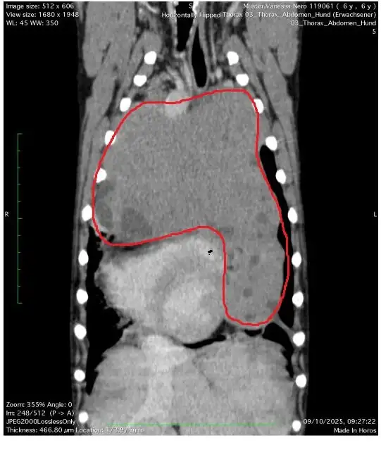
Jetzt steht er vor seiner größten Herausforderung: Ein sehr großer Tumor muss dringend operativ entfernt werden.

Der Tumor ist so groß, dass er bereits einen Großteil von Neros Lunge verdrängt hat. Ihm stehen nur noch ca. 20 % seiner Lungenkapazität zur Verfügung.

Dank seines unglaublichen Überlebenswillens konnte sich Nero an diese Einschränkung anpassen. Er ist ein Kämpfer und trotz seiner Atemnot rennt er noch über die Wiesen und spielt begeistert mit seinem Lieblingsstofftier. Aber die Zeit drängt.

Warum wir Ihre Spende benötigen
Die komplizierte Operation und die intensive Nachsorge sprengen unsere finanziellen Möglichkeiten. Ein so großer Eingriff bei einem Tier mit Vorerkrankungen erfordert ein erfahrenes Spezialistenteam.

Nero hat sich seinen Platz in einem liebevollen Zuhause hart erkämpft. Bitte helfen Sie uns, ihm jetzt diesen finalen, lebensrettenden Kampf zu ermöglichen!
Tumoroperation für Nero
Tumoroperation für Nero

Stefan Muster
Stefan Muster
Thörishaus, CH
Schweisser und Tierliebhaber

Nero war immer da für meine Frau als es Ihr gesundheitlich nicht gut ging.

Solange er noch keine schmerzen hat wollen wir nichts unversucht lassen um Nero zu retten und ihm etwas zurück zu geben.

Popular goodies

CHF 5

Update über seinen Gesundheitszustand

CHF 20

Update über seinen Gesundheitszustand + Foto

CHF 50

Update über seinen Gesundheitszustand + Video

Boosters

A
A
A
A
A
A

See all projects on Crowdify

Category Animals
Location Thörishaus

Animals